询价

询价 Nuance实际光谱影像多光谱影像系统

本公司产品的价格、技术参数等随产品发展而更改,以实际出厂产品为准。如有疑问,请联系业务。
产 品 编 号 92884JK4691
产 品 型 号 停产
产 品 价 格
微         信: 19811942171 19811942171
   服 务 热 线: 400-0630-558

专业的深华公司提供的Nuance实际光谱影像多光谱影像系统信息如下: 

深华公司提供的Nuance系列產品是一套功能强大、高效能的多光谱影像系统。这套系统可装置在共軛焦显微镜、一般显微镜等的C-mount照相机接孔或三筒目镜上方,以进行微观物体的光谱分析;这套系统也可直接搭配摄影机镜头,进行巨观物体的光谱分析。 

应用: 
.去除萤光影像中的自体萤光(auto-fluorescence)讯号 
.亮场(brightfield)光学下的病理切片影像 
.遥感探测 (Remote sensing ) 
.材料工程中的品质控管( QA/QC) 
.机械化视觉 (Machine vision) 
.考古学 
.艺术品分析及修复 
.鑑识科学  


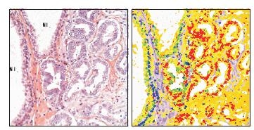
前列腺癌图像 ( 红色:癌细胞核) 

系统特点: 
快速及简易的影像擷取方式:操作简便的影像擷取软体可让你在数秒内获得所需的光谱影像方块(spectral image cube) 
擷取全视野范围的光谱资料:可获得视野范围内每一画素的光谱资料 
没有需移动的物件;使用电脑控制的液晶调变式滤光片,因而可得到高精确度的影像对準(image registration) 
具备自动曝光功能:系统会自动计算在每一波长下所需的理想曝光时间 
功能完整的光谱影像处理软体;提供影像处理所需的光谱分(classification)及去混合(unmixing)功能相容性高:影像以TIFF格式储存,可用其他影像处理软体开啟并分析 


专业的深华公司提供专业的产品、专门的售前、售中、售后服务,将使您的工作能够收到事半功倍的效果  

请注意,产品规格、参数如有变化,恕不另行通知。如有需要,请与我们的销售团队联系以获取最新信息

序号
型号
技术指标
价格